EthOss® Case Studies



Buccal Defects Anterior

Resorbable Suture Tenting
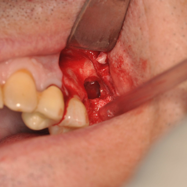
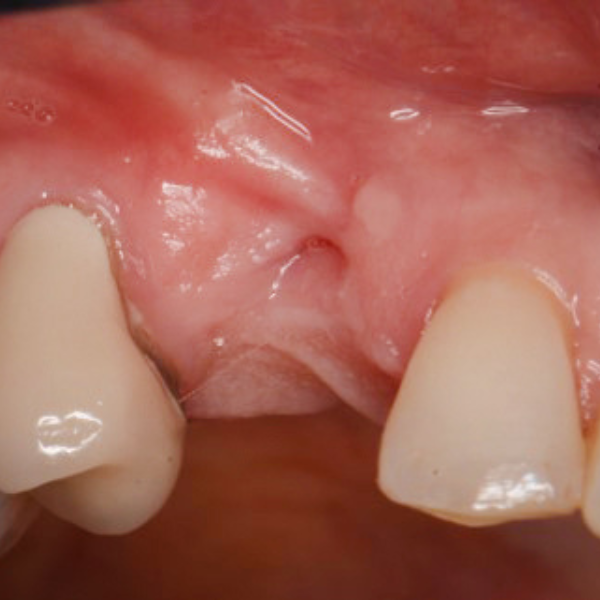
Pain from a mobile upper right central incisor that had received trauma approximately ten years prior to presentation.

Immediate Dental Implant Placement
Tooth 14 slightly increased mobility, tenderness and bite pain. Suspected root fracture

Dental Bone Graft - Upper Left Central

Sinus Lift with Immediate Placement

Multiple Tooth Bridge

Anterior Ridge

Upper and Lower Arch Immediate Load with Impacted Canine

Simultaneous Graft and Implant Replacement

Vertical Regeneration Of Both Buccal and Palatal Bone Walls

Anterior Implant Placement & Graft

Anterior Concavity

Long-Term Buccal Graft

Upper Anterior Implant Placement

Sinus Lift With Immediate Placement

Buccal Defect Case Study
Buccal Defects Posterior

Vertical Regeneration Of Both Buccal and Palatal Bone Walls
Healthy non-smoker referred from dentist as patient did not want complex work or any animal material.

UL5 Extraction and Implant Placement
Patient suffered from a root fracture. Needed removal and to restore hard and soft tissue.

Upper Right Pre-Molar

Early Loading Of Dental Implant

Lower Left First Molar

Upper Pre-Molar

Upper Left 4

Upper Pre-Molar Bridge

Upper Pre-Molar

Lower Molar

Buccal Defect Long-Term Bone Improvement

Lower Pre-Molar
Cysts and Apicectomies

Multiple Apicectomy Upper Pre-Molar
Long-term draining abscess with multiple previous apicectomies. Patient is a diabetic and a non-smoker.
Periodontitis

Two Wall Periodontal Bone Defect
Non-surgical treatment worked to reduce the inflammation but at this site.

Periodontal Defect Regeneration
Successfully undergone non-surgical periodontal therapy 6mm probing pocket depth on mesial of tooth LR6.

Periodontal Grafting

Sinus Lift and Periodontal Grafting
Sinus Augmentation

Sinus Lift with Immediate Placement
Patient suffered from localised periodontitis affecting all lower incisors with severe bone loss.

Lateral Window Sinus Augmentation
History of chronic sinusitis following earlier implant placement. MH clear, SH nil. Generally healthy dentition.

Sinus Augmentation - Lateral Window

Sinus Lift and Periodontal Grafting

Removal Of Implant, Sinus Lift And Implant Replacement

Sinus Lift With Immediate Placement

Socket Graft and Sinus

Upper Right Canine

Sinus Graft

Dental Implant With Simultaneous Sinus Graft

Sinus Augmentation - Crestal Approach With Dask
Socket Grafts

Socket Graft and Sinus Augmentation

Upper and Lower Arch Immediate Load with Impacted Canine

Upper Socket Graft

Dental Implant With Simultaneous Sinus Graft

Immediate Implant Placement With Partial Extraction Therapy

"Push-In" Implant Technique

Socket Grafting With Delayed Implant Placement

Upper First Molar Socket Graft

Upper Right Lateral Incisor

Lower Molar Site Regeneration

Socket Preservation Bone Graft

Socket Graft

Posterior Socket Graft
Swallow Dental Supplies and Ethoss Regeneration Ltd will not be liable or accept responsibility for any use or application of the products, or the techniques, mentioned in any of the case studies above.
It is the clinician’s responsibility to follow the official guidance related to each of the products as produced by the relevant manufacturer and ensure they are adhering to recommended methods and uses and complying with the correct techniques for use of the products.
All case studies and clinical examples are for illustrative purposes only. Please always refer to the product manufacturer’s guidance as to how to use any products and techniques mentioned in these case studies.

